RME の取り扱いについて
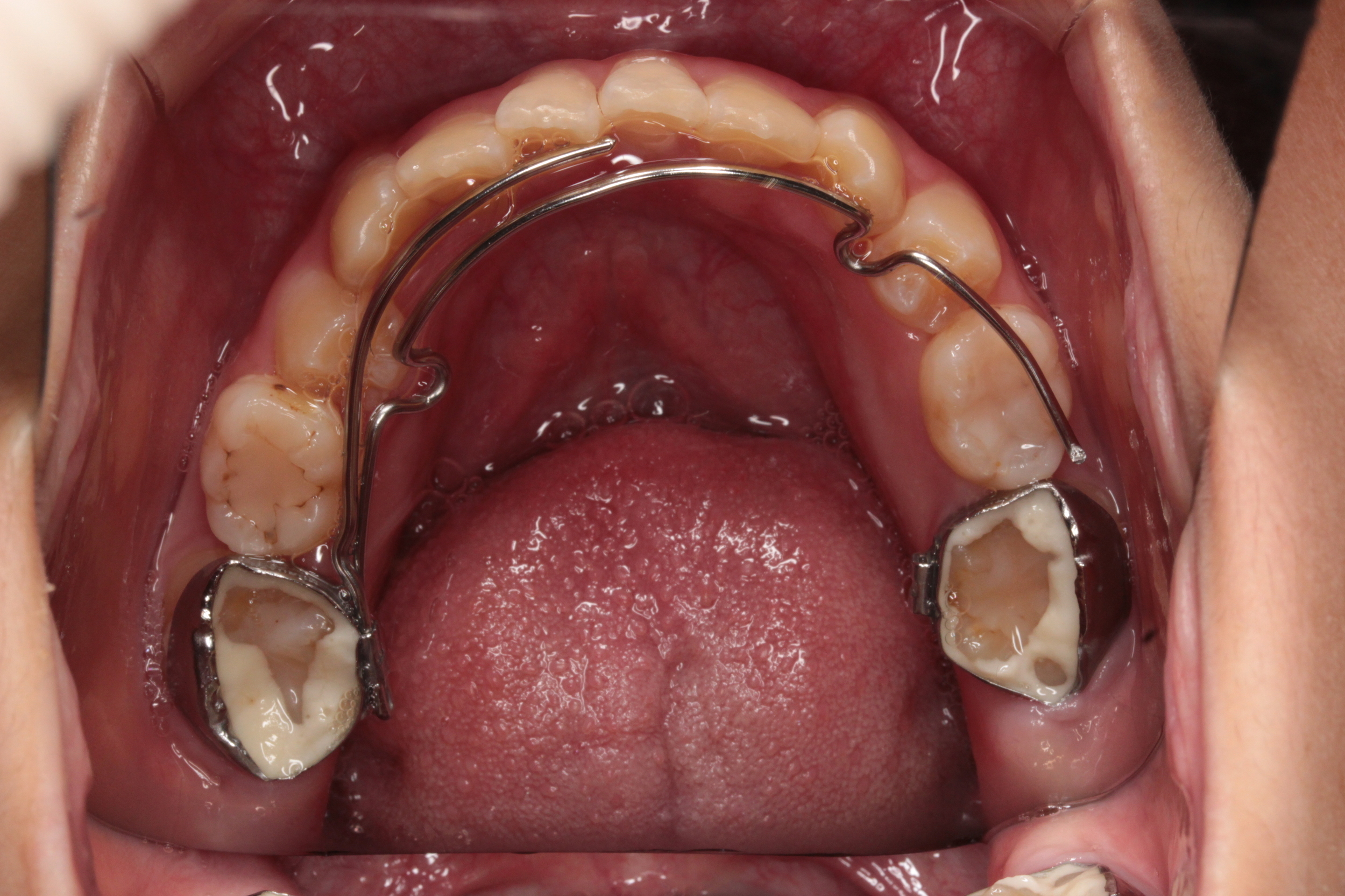
RME(上顎急速拡大装置)
※取り外しの出来ない装置です!
- 目的
中央のスクリューを回転させることで、上あごの成長を促進し、上あごの幅を拡大するための装置です。
- 使用方法
中央にあるスクリューを専用のネジ回しを使用して1日に1回、手前から奥に向かってネジを回していただきます。
一日に1/4回転、0.2mmのスピードで拡大を行います。
- 変化
装着してから1週間くらいは噛む時に歯が痛んだり、鼻の奥がツンとする感じがあったり、眉間に違和感があったりしますが異常ではありません。
鼻の底の骨と上あごの骨は同じなので、上あごの拡大が始まると感じる症状です。鼻腔が広がるのでお鼻がつまりやすいお子さんは鼻づまりが改善していきます。
- 注意事項
上あごに太い針金とスクリューを装着しますので最初は話しずらかったり、お食事がしずらかったりしますが1週間ほどで慣れてきます。装着してすぐは違和感があって気持ち悪く感じるかもしれませんが、指や箸などでいじらないようにしてください。装置が外れる原因になります。
食べ物は歯にくっつきやすいお餅、キャラメル、ソフトキャンディなどは避けてください。装置についてしまうと歯ブラシでとるのは難しく、ネジが回せなくなったり、装置が外れる原因になります。
装置に食べカスがはさまりやすいです。衛生士による歯ブラシ指導がありますので、ご自宅でもしっかり歯みがきをしてください。
- 緊急事態
装置自体のトラブルは非常に少ない装置になりますが、まれに接着剤がはがれてバンドが外れてしまうことがあります。その場合にはなるべく早く連絡して来院いただきますようお願いします。
最初のうちはネジを回すのに慣れないため、次の穴が見えなくなってしまったり、穴に入らないといったトラブルもあります。その場合も連絡して来院してください。
※拡大が正常に進んでいくと上の前歯の間が広がって「すきっ歯」になりますが心配いりません。
矯正治療が進んでいくと隙間は自然と閉じていきます。気になるかもしれませんが、指で押したり、力を加えたりしないでください。
フェイスマスクの取り扱いについて
フェイスマスク
※夜だけ着けていただく装置です。
- 目的
上あごに装着したRMEとゴムで引っ張ることで上あごの成長を促進します。
受け口や噛み合わせが浅く受け口の傾向がある方に用います。
- 使用方法
フェイシャルマスクを額とあごに合わせます。
上顎の装着したRMEのフックと、フェイシャルマスクのフックとをゴムでひっかけて引っ張ります。寝ている間に着けていただく装置です。
装着した分だけ効果の出る装置になります。
寝ている間に外してしまっていたり、着けるのを忘れることが多いと十分な効果が得られません。そういったことが多い場合は、昼間家にいる時や就寝前に早めに装置を着けるなどしていただくといいです。
- お願い
フェイシャルマスクは貸し出しですので、上あごの装置(RME)を外す時に返却していただきます。紛失の場合は別途¥5,000をいただきます。
また、毎月の診察時にフェイシャルマスクも確認させていただきますので、お手数ですが一緒にお持ちください。
使っていると接続部分のネジがゆるんだり、踏んだりすると変形の恐れがあります。その際は修理しますので持ってきてください。
その他にもご不明な点がありましたらお電話ください。
LLAの取り扱いについて
LLA(リンガルアーチ)
※取り外しの出来ない装置です!
- 目的
下の歯列を広げることと、下の歯が内側に倒れこんでいるのを垂直に起こすための装置です。
- 使用方法
RME(上あごの装置)と違ってご自宅で何かしていただくことはありません。
1ヶ月に一度来院時に先生が調整します。
- 変化
装着してから1週間くらいは噛む時に奥歯(バンドがついている歯)が痛んだり、ワイヤーによって前歯が押される感じがします。慣れるまで様子をみてください。
- 注意事項
前方のループの部分や、奥歯の内側に食べ物がのこりやすいので、しっかり歯磨きをしてください。
慣れるまで違和感がありますが、舌で必要以上にさわったり、指で触ったりしないようにしましょう。
- 緊急事態
接着剤がはがれてバンドが外れてしまったり、ワイヤーの先が歯ぐきに食い込んでしまった場合には、なるべく早く連絡し来院いただきますようお願いします。
また、ワイヤーが変な方向へ曲がってしまった場合も、早めに連絡をして来院ください。
ごくたまにバンドについている青いゴムがとれてしまうことがあります。すぐにつけられますので、来院してください。痛みについては、装着後1週間ほどは様子をみてください。痛みが続くようでしたらご相談ください。
TPAの取り扱いについて
TPA
※取り外しの出来ない装置です!
- 目的
上あごの保定。後戻りを防止する装置です。
- 使用方法
ご自宅で何かしていただくことはありません。
1ヶ月に一度来院時に先生が調整します。
- 変化
装着してから1週間くらいは噛む時に奥歯(バンドがついている歯)が痛んだり、ワイヤーによって歯が押される感じがします。慣れるまで様子をみてください。
- 注意事項
ワイヤーと接している歯は汚れがのこりやすいので、しっかり歯磨きをしてください。
慣れるまで違和感がありますが、舌で必要以上にさわったり、指で触ったりしないようにしましょう。
- 緊急事態
接着剤がはがれてバンドが外れてしまったり、ワイヤーの先が歯茎に食い込んでしまった場合にはなるべく早く連絡し来院いただきますようお願いします。
また、ワイヤーが変な方向へ曲がってしまった場合も、早めに連絡をして来院ください。
痛みについては、装着後1週間ほどは様子をみてください。痛みが続くようでしたらご相談ください。
FKOの取り扱いについて
FKO(エフカオー)
- 目的
上下のあごの前後関係を治すために使用します。
上下の前歯を突き合わせた位置で、あごの位置を保つことにより、あごの前後関係が正しく矯正されます。
- 使用方法
前後の前歯を突き合わせた位置で使用しますので、下あごを少し前に突き出した状態で装着します。
装着した状態で唇を閉じ、50回噛みこんで左右の咬筋が動くのを手を当てて確認してください。
口が開いてしまう場合は口テープを貼ってください。
口テープは何でも良いですが、サージカルテープ(優肌絆など)が使いやすいと思います。初回は診察時にお渡ししていますが、使い終わってしまった場合は薬局で購入してください。
一日に10時間以上装着します。装着したままではしゃべれないので、主に夜間就寝時に使用します。
睡眠時間が短い場合は、夕食後すぐに装着するなど、使用時間を増やすよう工夫してください。
- 管理方法
使っていない時はケースに入れるなどして、破損、紛失に注意して下さい。
ティッシュに包んでおいたり、そのまま置いておくと誤って捨ててしまったり、踏んでしまったりする恐れがあります。
掃除の方法は、毎回外したあと水ですすいでいただくか、汚れが気になる場合は歯ブラシなどのブラシで洗ってください。細かい傷がついてしまうので、歯磨き粉は使わないで下さい。
除菌をしたい場合はリテーナー洗浄剤を使ってください。リテーナー洗浄剤は受付にて¥1300で販売しております。
- 注意事項
毎回の検診時に装置の確認をしますので、必ず持ってきて下さい。お忘れの場合は取りに帰っていただきますので、注意してください。
※紛失してしまった場合は、別途¥5,000(税別)いただいております。
装置が外れた
片方だけ外れたとき・・・
ほとんどの場合元に戻せます。そのままバンドを歯にはめるように戻してください。
その時、バンドのふちでケガをする恐れがありますので、ティッシュかガーゼを当てて押し込んでください。ネジは回さずに、回していない回数が分かるようにしておいて下さい。
なるべく早く来院して頂き、接着しなおします。
両方のバンドが外れたとき・・・
長時間そのままにせず、なるべく早く来院していただいて装着しなおします。
取れた装置は必ず持ってきてください。
万が一元に戻せない場合・・・
外れてないの方のバンドも少し動かしたりさわってみて外れるようなら完全に外してしまってください。
ワイヤーが折れた
なるべく早く来院してください。特に痛みなどなければ触らずにそのまま入れておいて問題ありません。
痛みがある
痛い
ネジをまわして拡大していきますので装着後数日くらいで痛みがある場合があります。拡大が始まった証拠ですので、数日は様子をみてください。つらい時は痛み止めを飲んでください。処方することもできますし、市販のものでも大丈夫です。
食べる時に痛い・・・
装置によってバンドを付けている歯に一番力が加わります。そのために奥歯でかんだときに痛みがある場合があります。痛みがある時には少し柔らかめの食べ物のしていただいたり、ひどい場合は痛み止めを飲んでいただいても大丈夫です。
フックのトラブル
フックが当たって痛い
カバーするものもあるのでご相談ください。調整しますので来院してください。
フックが取れた
とれたものを持って来院してください。すぐに来られない場合はフェイシャルマスクの着用はお休みしていただいて、ネジは指示通り回してください。
フックが取れかかっている
来院してください。すぐに来られない場合はフェイシャルマスクの着用はお休みしていただいて、ネジは指示通り回してください。はめることができそうならはめてください。
ネジのトラブル
ネジが回らない
来院していただいて調整いたします。
歯ぐきのトラブル
歯ぐきが腫れた(赤くなってる・血が出る)
歯ぐきの腫れや出血の主な原因は清掃不良によるものが多いので、まず歯磨きをしっかりしてください。磨き残しがそのままになっていることで歯ぐきが炎症を起こし、そこに歯ブラシなどを当てると血が出ます。血が出るからといって磨かずにいるとどんどん歯肉炎が悪化します。優しくブラシを当ててマッサージするように磨いてください。





